Содержание статьи:
Развитие современной пластической хирургии позволяет успешно проводить различные операции по коррекции эстетических недостатков. Например, многие люди пытаются получить тонкую талию и плоский красивый живот при помощи диеты или занятий спортом, но получается это далеко не у всех. В этом случае на помощь приходит абдоминопластика. Это крайне эффективная, но довольно сложная операция, которая требует большого опыта от хирурга и неукоснительного соблюдения всех рекомендаций лечащего врача от пациента. Пациенту придется соблюдать различные ограничения и ухаживать за прооперированной областью
Важно, чтобы человек был к этому морально готов
Круговая блефаропластика век
Круговая блефаропластика век часто применяется в комплексе хирургических действий во время операции по верхнему или по нижнему веку пациента. Например, при блефаропластике глаз, операция на участке верхнего века предполагает рациональное распределение лишнего жира на других участках глаза. Именно тогда, происходит совмещение двух операций на верхнем веке и вокруг глаз.
Этот тип операции более сложен и длителен. Время круговой блефаропластики глаз в этом случае может увеличиться до трёх часов и более. При этом операция проходит в несколько этапов, на каждом этапе происходит коррекция максимального количества дефектов глаз. Большое значение в этом случае необходимо уделить квалификации и опыту врача, который будет проводить процедуру.
Показания и противопоказания к брахиопластике рук
Показания
- Сильное обвисание кожи и формирование кожной складки из-за резкого уменьшения или возрастания массы тела при нарушениях гормонального фона или системных патологических состояниях;
- Дистрофия мышечных тканей рук из-за отсутствия физических нагрузок;
- Дряблость кожи вследствие возрастных изменений, портящая форму руки.
Противопоказания
Специфические:
- Ранее проведённые операции, затрагивающие лимфоузлы, расположенные в подмышечной области;
- Болезни кожного покрова в области операции.
Общие:
- Болезни крови, характеризующиеся нарушением её свёртываемости;
- ;
- Новообразования злокачественной этиологии;
- Беременность, в том числе и планируемая.
Показания к резекции
Изначально, резекция ребра предназначалась для разрешения каких-либо экстренных патологических состояний, связанных со здоровьем человека. Однако в настоящее время специалисты нередко проводят подобную операцию ради красоты.
Показанием к удалению нижней пары ложных ребер является желание женщины обладать осиной талией и плавными, округлыми формами.
Если у дамы есть желание, а бюджет позволяет прибегнуть к помощи пластического хирурга, это становится показанием к проведению процедуры. Конечно, профессионал своего дела обязательно предупредит клиентку о противопоказаниях к операции по удалению ребер.
Только полностью здоровый и молодой организм подходит для осуществления подобного вмешательства.

Кому рекомендуют блефаропластику век
Перед тем как решить, нужна ли человеку такая операция, необходимо разобраться в причинах возникновения проблем и дефектов в области глаз. Кожа вокруг глаз является самой тонкой среди других видов кожного покрова, поэтому стареет и теряет упругость она самая первая.
В процессе жизнедеятельности и мужчины и женщины довольно часто подвергают себя стрессу. Причем это могут быть как проявления и внешней агрессивной среды (солнце, загрязнённый воздух и плохая экология), так и внутренние причины (усталость, малое количество сна, неполноценное питание).
Не редки и злоупотребление вредными привычками, которые всегда сказываются на внешнем облике человека. На помощь обычно приходят различные косметические средства. В молодом возрасте такого ухода бывает достаточно. Но с возрастом ткани эпидермиса уже не достаточно восприимчивы к косметике, поэтому многие надеются омолодить свой внешний вид с помощью блефаропластики.
Рекомендациями к данной операции служат как медицинские показания, так и эстетические желания.
Медицинские показания
Для получения от врача разрешения к блефаропластике век необходимо посетить офтальмолога, который проведёт диагностику глаз и выявит проблемы. Ключевым фактом для врача в этом случае являются именно те дефекты, которые мешают пациенту полноценно видеть.
Нарушения зрительного аппарата, при которых офтальмолог назначит данную операцию:
- Энтропион — граница век с ресницами заворачивается внутрь глаза
- Эктропион — край верхнего или нижнего века, а также прилегающая слизистая выворачиваются наружу
- Птоз верхнего века — нарушение расположения верхнего века. Находится ниже нормы
- Сильное нависание верхней складки века, отчего сильно нарушается периферическое зрение.
Эстетические дефекты
- Излишняя масса верхнего века
- Грыжа нижнего века — нарушение липидной перегородки в тканях нижнего века. Из-за этого жировая клетчатка начинает выпирать. Чаще всего эта проблема возникает в силу возрастных причин
- Асимметричное строение глаз или опущение внешнего уголка глаза
- Растянутые ткани вокруг всего глаза
- Блефарохалазис — нарушение строения складки века, поэтому она вся покрыта сетью мелких морщин
- Экзофтальм — выпуклое глазное яблоко, в народе называемое «пучеглазием»
- Эпикантус — наличие лишней складки у внутреннего уголка верхнего века, который даёт эффект «монгольского» разреза глаз.
Подготовка к операции по иссечению рубцов и её проведение
Поскольку иссечение — полноценная операция (подчас непростая), она требует комплексной подготовки. Помимо посещения предварительной консультации и обсуждения желаемых результатов с пластическим хирургом, пациенту нужно пройти диагностические исследования:
- Общий анализ крови и урины;
- Электрокардиография;
- Тест на аллергическую реакцию на препараты анестезии;
- Анализы на ВИЧ и гепатит.
Пациенту важно понимать, что полное удаление рубца невозможно — он всё-равно останется — однако, во власти хирурга сделать его практически незаметным и уменьшить размеры. За две недели до оперативного вмешательства нужно исключить приём препаратов, разжижающих кровь, а также от курения
Если планируется применение общего наркоза, последний приём пищи должен состояния не позже чем за десять часов до посещения хирурга.
Методика хирургического иссечения подбирается индивидуально, на основании следующих параметров:
- Показания и пожелания пациента;
- Особенности рубца;
- Функциональные нарушения, причиной которых стало его наличие;
- Расположение рубца.
В зависимости от объёма вмешательство проводится под местной или общей анестезией. Действия хирурга направлены на воссоздание разреза, перемещение кожного покрова вокруг него с целью минимизации напряжения. Удаление осуществляется за счёт иссечения таким образом, чтобы можно было легко сопоставить раневые края, после чего накладывают косметический шов. Его снимают через три‒четыре дня.
Для того, чтобы реабилитация проходила легче, а операция дала наилучший результат, пациенту назначают ряд процедур. После операции на коже остаётся тонкий шов, который практически не виден.
Хотите наилучшего результата? Обращайтесь в ЦЭЛТ! Наши пластические хирурги уже не первый год успешно удаляют шрамы от ожогов, травм, операций.
Стадии формирования рубцов
В своем формировании рубец проходит 4 последовательно сменяющие друг друга стадии:
I – стадия воспаления и эпителизации
Протекает от 7 до 10 суток с момента возникновения травмы. Характеризуется постепенным уменьшением отека и воспаления кожи. Формируется грануляционная ткань, сближающая края раны, рубец пока отсутствует. Если не происходит инфицирования или расхождения раневой поверхности, то рана заживает первичным натяжением с формированием едва заметного тонкого рубца. С целью профилактики осложнений на данном этапе накладываются атравматичные швы, щадящие ткани, проводятся ежедневные перевязки с местными антисептиками. Ограничивается физическая активность, чтобы избежать расхождения раневых краев.
II – стадия образования «молодого» рубца
Охватывает период с 10-х по 30-е сутки с момента травмы. Характеризуется формированием в грануляционной ткани коллаген-эластиновых волокон. Рубец незрелый, рыхлый, легко растяжимый, ярко-розового цвета (из-за усиленного кровоснабжения раны). На этой стадии следует избегать вторичной травмы раны и усиленных физических нагрузок.
III – стадия образования «зрелого» рубца
Длится с 30-х по 90-е сутки со дня травмы. Волокна эластина и коллагена разрастаются в пучки и выстраиваются в определенном направлении. Уменьшается кровоснабжение рубца, из-за чего он уплотняется и бледнеет. На этом этапе нет ограничений по физической активности, но повторная травма раны может вызвать формирование гипертрофического или келоидного рубца.
IV – стадия окончательной трансформации рубца
Начиная с 4 месяца после травмы и до года, происходит окончательное созревание рубца: отмирание сосудов, натяжение волокон коллагена. Рубец уплотняется и бледнеет.
Гистологическая классификация физиологического рубцевания включает три стадии и дает доктору дополнительную информацию о состоянии рубцевой ткани на различных сроках:
- 1-я стадия – фибробластическая – продолжается до 30 суток, она характеризуется появлением юных фибробластов, обилием сосудов.
- 2-я стадия – волокнистая – формируется к 33-м суткам с момента нанесения травмы; характеризуется присутствием зрелых фибробластов и накоплением в рубцовой ткани волокнистых конструкций, в первую очередь – коллагеновых волокон.
- 3-я стадия – гиалиновая – формируется к 42-м суткам; характеризуется уменьшением количества клеток и сосудов.
Изучив стадии рубцевания, можно провести тщательную диагностику и разработать эффективный план лечения.
Осложнения
В некоторых случаях могут наблюдаться более серьезные осложнения. Следует обратиться к врачу, если на протяжении нескольких дней температура тела не падает ниже 38°C. Постоянное нарастание отеков также является поводом для беспокойства. Но не следует путать это явление с «плавающей» отечностью, при которой припухлость тканей нарастает в утренний период и снижается к вечеру.
При несоблюдении стерильности в операционной или при отсутствии ухода за швами в раны может попасть инфекция. В период восстановления пациент должен ежедневно проводить антисептическую обработку швов, чтобы избежать попадания инфекции. Также врач может назначить прием антибиотиков для подавления развития инфекционного заболевания.
Любые ситуации, вызывающие беспокойство или доставляющие серьезный дискомфорт, считаются поводом для обращения к хирургу. При тяжелом состоянии и невозможности посещения хирурга допустимо обращение в ближайшую клинику или вызов экстренной помощи.
Как проходит операция?
Сначала специалисты проводят обезболивание и обрабатывают оперируемую область антисептиками. Когда пациент заснет, врач приступает к процедуре. Для этого сначала выполняет небольшие разрезы на коже в области нижних ребер. Затем вводит хирургический инструмент и эндоскоп — прибор, который имеет микрокамеру, позволяющую контролировать ход операции на мониторе.
Во время манипуляции удаляется часть ребер до нужного размера. Полная резекция не проводится, поскольку возможна деформация грудной клетки, неудовлетворительный эстетический результат и разные патологии со стороны опорно-двигательной системы.
Затем на оперируемые участки надкалывают шовный материал, повязки. Обычно операция занимает несколько часов.
Вопрос-ответ
Дают ли больничный после операции?
К сожалению, после пластики больничные не дают. Поэтому желательно запланировать процедуру во время отпуска.
Для чего ставится дренаж?
Для усиления оттока жидкости из раны. Если процесс восстановления развивается нормально, то дренаж удаляют через 3-5 дней.
Больно ли снимать дренаж?
Нет, его удаление проходит практически безболезненно.
Когда снимают швы?
Если нет осложнений и побочных эффектов, то снятие швов проводится на 10-14 день.
Можно ли рожать после операции?
Планировать беременность и роды рекомендуется не ранее, чем через год после пластики. В противном случае возможно развитие таких осложнений, как растяжки и деформация кожи, расхождение краев рубца по мере роста живота. Также из-за высокого внутрибрюшного давления и неспособности прямых мышц живота расходиться нужным образом могут возникнуть изжога, запоры, недержание мочи.
Сколько носить бандаж?
ЕВ первые дни его нельзя снимать вообще. Затем его разрешают снимать на ночь. Если не носить компрессионное белье, то могут разойтись швы. Кроме этого, возрастает риск развития отеков и образования грыж.
Как спать после операции?
В первые 14 дней разрешено спать только на спине, ноги чуть согнуты в коленях, чтобы ткани живота не натягивались, плечи и голова немного приподняты. Спать на боку врач обычно разрешает через три недели после операции (при условии, что операция была средней сложности и процесс заживления идет по плану). Спать на животе можно через 6-12 месяцев, после полного заживления места операции.
Когда можно вернуться к работе?
Через неделю, если работа не связана с физическими нагрузками. Не ранее, чем через месяц, с разрешения лечащего врача, при физическом труде.
Можно ли сидеть после операции?
В течение двух дней рекомендуется лежать. Затем можно понемногу начинать садиться и вставать при помощи персонала. Туловище при этом должно быть немного наклонено вперед.
Когда можно мыться?
Полноценно принять негорячий душ можно только после снятия швов. До этого времени можно протирать тело влажным полотенцем, но швы мочить запрещено.
Через сколько можно заниматься спортом?
Если восстановление идет нормально, без осложнений, то можно начинать легкие тренировки под наблюдением врача через три месяца после операции.
Можно ли делать операцию летом?
Можно, но лучше запланировать пластику в другое время года, когда не жарко, чтобы период реабилитации проходил более легко.
Когда можно загорать?
Через 6 месяцев.
Источники статьи:
- Современные аспекты абдоминопластики. Агапов Д.Г., Побережная А.В., Мазен Х.М. Sciences of Europe. 2017. №17-2. с. 15-20
- Сочетание гернио-и абдоминопластики у больных с ожирением. Чумбуридзе И., Штильман М., Орехов А., Явруян О. Врач. 2018. №6. с. 75-78
- Абдоминопластика у больных с послеоперационными рубцами на передней брюшной стенке. Курбанов У.А., Давлатов А.А., Джанобилова С.М. Вестник Авиценны. 2008. №1. с. 14-17
- Абдоминопластика как метод коррекции тела после масивного снижения веса. Хатьков И. Е., Гришкян Д. Р. ВНМТ. 2010. №4. с. 127-128
Что такое блефаропластика и чем трансконъюктивальная различается с классической?
Блефаропластика — это коррекция верхних и/или нижних век. Трансконъктивальную методику можно также совместить с изменением разреза глаза, коррекцией верхних век или бровей и даже с подтяжкой лица.
Трансконъюктивальная блефаропластика менее продолжительна, чем традиционная. После такого вмешательства не надо снимать швы, поскольку методика предполагает доступ к подглазничной области через микроскопические проколы на внутренней стороне нижнего века. После выполнения классической блефаропластики вид глаз может слегка поменяться из-за отечности, при трансконъюктивальной это исключено. Также исключена и возможность дефекта, возникающего из-за неграмотного вмешательства, а именно выворачивающегося века.
Поздние осложнения
- Осложнения мочевыводящих путей. Осложнения со стороны мочевыводящих путей могут появиться в раннем или позднем периоде. Поздние осложнения включают стеноз мочеточника, приводящий к гидронефрозу, и разницу в размерах почек с определенным уменьшением пораженной. Обе эти особенности могут быть оценены с помощью обычного трансабдоминального УЗИ. Однако КТ с введением контрастного вещества позволяет исследовать функцию почек — в случае патологий органа наблюдается задержка работы по сравнению со второй почкой.
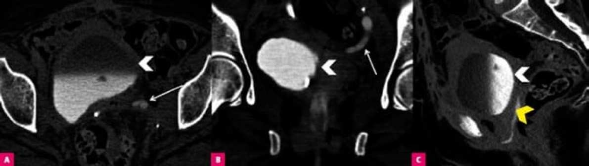
- Повреждение кишечника. Позднее осложнение кишечника — непроходимость в основном из-за спаек. Спайки являются наиболее частой причиной обструкции этого органа после операции и основной долгосрочной причиной повторного вмешательства после операции на брюшной полости и тазовой области. Спайки могут способствовать полной, периодической или неполной непроходимости кишечника. Подозрение на непроходимость тонкой кишки вследствие спаек возникает, когда все другие причины были исключены при КТ. Основные аномалии включают узкую переходную зону без видимых изменений, резкое изгибание петли тонкой кишки и искажения натяжения. В неотложных случаях подозрение на кишечную непроходимость также можно поднять на основании обычных рентгенограмм, которые показывают расширенные кишечные петли с уровнями жидкости и газа.
Обструкция кишечника у женщины после лапароскопической резекции кисты эндометрия яичника. A и B. Горизонтальный газ-жидкость в расширенных петлях тонкой кишки (звезды) и грыжа, образованная в разрезе (стрелка), визуализируемая на КТ-изображениях в осевой и фронтальной плоскостях.
Свищ. Отдаленное осложнение, часто следствие повреждения кишечника или мочевых путей. Это происходит в основном после операций из-за злокачественных опухолей и после лучевой терапии. МРТ является тестом выбора из-за более высокого пространственного разрешения по сравнению с КТ. Например, в отношении перианального свища он обеспечивает отличную чувствительность и специфичность (100% и 86% соответственно). Канал фистулы можно оптимально отобразить на стандартных изображениях, в виде гиперинтенсивного канала, заполненного жидкостью, часто окруженного реактивной воспалительной жировой тканью, которая появляется в виде смежных гиперинтенсивных полос.
В случае активного воспалительного процесса фистулу можно также визуализировать после введения контрастного вещества в виде гипоинтенсивного канала с усиливающей стенкой. После тазовой хирургии образуются преимущественно пузырно-влагалищные и ректо-вагинальные свищи, но также могут возникать кишечно-кожные, кишечно-мочевой пузырь, кишечно-влагалищные и другие свищи.
Если есть подозрение на пузырно-влагалищный или мочеточниковый свищ, проводится КТ, обеспечивающее прямую оценку свищевого канала, заполненного контрастным веществом, в поздней секреторной фазе. Если подозревается наличие свища между кишечником (кишечные петли или прямая кишка) и влагалищем, может оказаться полезным контрастирование пероральное и ректальное (через катетер).

Уретеро-вагинальный свищ у женщины после операции по поводу рака шейки матки. КТ-изображения в осевой (A), фронтальной (B) и сагиттальной (C) плоскостях показывают контрастную мочу в мочевом пузыре (белая стрелка) и заполненную контрастом полость между мочеточником и влагалищем (желтая стрелка), вкупе с расширением левого мочеточника (стрелка)
Реабилитация
Большая часть восстановления ложится на плечи самой пациентки. Если операция проведена успешно, последующая красота зависит именно от реабилитационного периода. Конечно, он должен проходить под наблюдением врача, который осуществлял вмешательство.
Что следует делать после резекции ребер:
- осуществлять ежедневную перевязку шрамов на коже до их полного заживления;
- пить обезболивающие препараты, которые прописал врач;
- не менее 1 месяца носить поддерживающий корсет;
- слушать все рекомендации хирурга, регулярно посещать его консультации до полного восстановления.
Это делать запрещено:
- заниматься спортом в первые три месяца после операции;
- проводить другие хирургические вмешательства;
- беременеть в первый год после резекции и без разрешения врача;
- самостоятельно принимать решение о снятии корректирующего белья и корсета.
По любому возникшему вопросу следует советоваться с хирургом, который проводил удаление ребер. Это поможет своевременно распознать возникшие осложнения или вовсе их избежать.
Реабилитационный период длится не менее 2 месяцев, но не более полугода. Время восстановления зависит от состояния конкретного организма, на котором была проведена операция.
Этапы проведения
После того, как выполнена вся предоперационная подготовка, настает день проведения резекции ребер. Как правило, пациентка ложится в клинику за сутки до предполагаемой даты. Это помогает скорректировать питание, которого следует придерживаться перед любым вмешательством в организм под общей анестезией.
Пища должна быть легкой, быстро усваиваться. Примерно за 12 часов не разрешается кушать, только пить немного воды, если есть желание.
Перед вмешательством назначается клизма, затем пациентку транспортируют в операционную. Выполняется наркоз, который предварительно обсуждался с анестезиологом. Чаще всего назначается именно общая анестезия, когда лекарство водится в вену или ингаляторно.
Когда пациент заснул на операционном столе, начинается сама резекция.На сегодняшний день наибольшей популярностью пользуется именно эндоскопический метод хирургического вмешательства.
Специалист делает несколько небольших надрезов в районе ребер, в один из которых вводится сам эндоскоп. Он представляет собой длинную, тонкую трубку, которая имеет камеру на конце. Это позволяет хирургу безошибочно проводить удаление ребра “вслепую” через другой разрез, не прибегая к полостной операции.
Во время манипуляций удаляется одна, две или, что гораздо реже, три нижних пары ребер. Удаление остальных абсолютно запрещено.
Для приобретения тонкой талии происходит частичная резекция костей, так как их полное иссечение может спровоцировать деформацию грудины. После операции, ребра, как ни странно, остаются на месте, только представляют собой короткие костные выступы.
В среднем, вмешательство длится несколько часов.После проведения всех необходимых манипуляций, пациентку доставляют в палату интенсивной терапии до полного пробуждения.
Через некоторое время ее переводят в обычную палату, и спустя несколько дней, выписывают из клиники. Затем начинается длительный период реабилитации.
Для чего человеку ребра?
Ребра — уплощенные изогнутые пластины из костной и хрящевой ткани. Их насчитывают 12 пар. Зачем они нужны? Эти элементы формируют переднюю часть грудной клетки, которая защищает внутренние органы от механических повреждений, травм. Они соединяются с грудными позвонками.
Еще одна их важная функция — опорная. Грудина придает прочность позвоночнику, удерживает внутренние органы в оптимальном положении и предотвращает их смещение. Также она является каркасом для мышц и принимает участие в дыхании. Масса и жесткость костных элементов помогает легким сокращаться и выталкивать воздух.
Показания, противопоказания и подготовка к операции
Метод подходит тем женщинам, у которых отмечается избыточный индекс массы тела (более 25 единиц), и отсутствует избыток подкожного жира на боках и животе. При необходимости, лишнюю жировую ткань можно убрать при помощи липосакции и липомоделирования.
Среди противопоказаний к операции отмечаются:
- Ожирение.
- Выраженное истощение.
- Беременность и период грудного вскармливания.
- Несовершеннолетний возраст.
- Тяжелые заболевания внутренних органов.
Для того чтобы выявить противопоказания и спланировать предстоящую операцию, на подготовительном этапе назначается комплексная диагностика, в которую, помимо стандартного обследования к хирургическому вмешательству, входит рентген грудной клетки и компьютерная томография.
Подготовка к операции
Перед проведением отопластики необходима обязательная очная консультация со специалистом, который произведет осмотр ушной раковины, выявит причины дефектов, если они есть, и смоделирует при помощи компьютерной графики новую форму ушной раковины. После чего, отправит пациента на сдачу анализов и плановое лабораторное и клиническое обследование: общий анализ крови и мочи, биохимический анализ крови, кровь на гепатит и ВИЧ и флюорографию. Также пациенту будет необходимо посетить: терапевта, оториноларинголога и анестезиолога. Помимо этого, в качестве подготовки к отопластике пациенту рекомендуется соблюдать ряд ограничений, а именно за две недели до даты пластической операции приостановить прием препаратов, разжижающих кровь и отказаться от курения. Накануне отопластики стоит помыть голову и принять душ. В день проведения операции нельзя есть и пить. На подготовительном этапе к операции, обычно делают фото пациента, которое объективно показывает форму и размер ушей.
Естественные последствия
Некоторые явление сопровождают практически любой вид пластической хирургии. В первую очередь это появление синяков и отеков в прооперированной области. Дело в том, что почти вся пластика подразумевает травмирование тканей. Синяки и отечность — естественная реакция организма на вмешательство. Избежать их появления нельзя, но можно ускорить заживление тканей и восстановление организма.
В первое время также может наблюдаться небольшое повышение температуры тела, болевые ощущения, выделение экссудата из ран. Если эти явления слабо выражены и не доставляют большого дискомфорта, вмешательство врача не требуется. При необходимости могут быть назначены обезболивающие препараты и другие медикаменты, снижающие общую дискомфортность в восстановительный период.
Все средства должны назначаться врачом, самолечение запрещено.





































